-

人流AI识别
已于青岛2024年啤酒节首次使用。通过实时视频对人流进行识别、区域范围内排队人数进行识别,以及上下车人数进行识别,用于大调度和实时调度提供辅助决策支持。
查看详情 -

车联网平台
应用于公交车、工程车辆,通过车载机tbox实时获取车辆定位、车速、油耗、发动机转速以及故障等信息,实时上传到云平台。识别驾驶员行为,用于监测车辆状况和驾驶员有无违规行为。结合业务系统对作业、车辆和人员进行全方位管控。
查看详情 -

智慧充电平台
已成功应用于公交集团,并成为省市级大数据应用典范,通过AI算法,结合调度、区间时段电价、以及电池性能生命周期,智能安排车辆充电时间、对应充电枪以及充电电量,在满足业务需求的同时,达到电费最省。
查看详情 -

作业安全AI监控
利用AI视觉技术实现生产环境下疑似违规行为的识别告警,提供通用场景算法以及专用需求算法的智能分析。
查看详情 -

供应链平台
已应用于某汽车集团企业,通过AI算法,智能进行仓库选址,并进行运输路线优化,通过算法和系统降低运输和运营成本。
查看详情 -

智慧维修
利用算法及AI,集PC端以及可移动一体机和PDA终端,结合信息技术,助力设备装备维修保养。
查看详情 -

AI工业质检
利用AI视觉识别对零部件缺陷进行检测。
查看详情 -

渔具图纸设计及排产排版
使用AI排产排版算法,通过选择订单产品,根据零部件大小、剪裁要求以及订单数量自动智能生成排版图纸。图纸在不借助AutoCAD等第三方软件的前提下,支持在线排版图纸预览、导出图片、导出CAD格式的dxf和dwg以及导出pdf。
查看详情 -

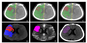
医疗诊断
已应用于西医医疗设备医疗诊断和中医诊断,为诊疗提供辅助决策支持。
查看详情 -

OCR识别
已应用于发票、票据、血压、水电燃气等仪表数据的数字、字母、中文、日文的OCR识别。
查看详情 -

电池智能设计
利用AI对电池进行自动化设计,同时对电池设计进行AI分析,生成设计和性能分析报告。
查看详情 -

智慧公交综合管理系统
已应用于多家公交集团,包括流程管理、安全管理、调度系统、票务管理、OA管理、服务管理、机务管理、物资管理、人资管理、运营管理、汽修管理等公交几乎全部功能。
查看详情





